
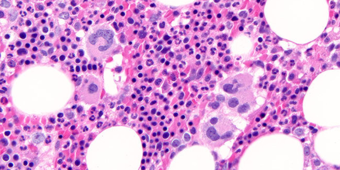
Das POEMS-Syndrom ist definiert als das Zusammentreffen von peripherer Neuropathie (P), monoklonalem Plasmozytom (M) und weiteren para-neoplastischen Symptomen, am häufigsten Organomegalie (O), Endokrinopathie (E), Hautveränderungen (skin, S), Papillenödem, Ödem, Ergüssen, Aszites und Thrombozytose. Praktisch alle Patienten haben entweder mindestens 1 sklerotische Knochenläsion oder einen begleitenden Castleman-Tumor. Am häufigsten tritt das POEMS-Syndrom im 5. und 6. Lebensjahrzehnt auf. Die Prävalenz des Syndroms ist nicht bekannt. Die Diagnose der Krankheit kann auch dann gestellt werden, wenn nicht alle genannten Symptome vorhanden sein. Eine frühe Diagnose ist wichtig, da dann die mit der Krankheit einhergehende Morbidität verringert werden kann. Das POEMS-Syndrom wird häufig mit einer chronisch-entzündlichen demyelinisierenden Polyneuropathie verwechselt. Diese Fehldiagnose muß vermieden werden, weil die Behandlung, die hier angezeigt wäre (intravenöse Gammaglobuline, Plasmapherese und Azathioprin), bei Patienten mit POEMS-Syndrom wirkungslos ist. Die Ursache des POEMS-Syndroms ist unklar. Eckpfeiler der Therapie für Patienten mit POEMS-Syndrom sind Bestrahlung, Kortikosteroide und alkylierende Substanzen (hochdosierte Chemotherapie und Stammzell-Transplantation über das periphere Blut).
POEMS-Syndrom: Seltene Form von Blutkrebs
Beim POEMS-Syndrom produzieren entartete blutbildende Knochenmarkzellen Antikörper gegen das eigene Nervensystem. Die Erkrankung ist eine seltene Variante des Multiplen Myeloms.
Erfahren Sie mehr im NDR-Beitrag aus der Reihe "Abenteuer Diagnose"
Neues Infoblatt "Das POEMS-Syndrom"
Patienten mit der Diagnose einer Monoklonalen Gammopathie unklarer Signifikanz (MGUS) oder eines Multiplen Myeloms haben eventuell schon von der seltenen Diagnose des POEMS-Syndroms gehört. Hinter den Buchstaben verbergen sich die Hauptsymptome dieses Syndroms: Polyneuropathie (Störungen im Bereich der Hand- und Fußnerven), Organomegalie (vergrößerte innere Organe, z.B. Leber), Endokrinopathie (Störungen des Hormonstoffwechsels, z.B. Diabetes), Monoklonales Protein (Immunglobulin G [IgG] oder A [IgA]) und Hautveränderungen (Skin). Da das Vorkommen von monoklonalem Protein eine Voraussetzung für die Diagnose eines POEMS-Syndroms darstellt, ist es nicht verwunderlich, dass gerade MGUS- und Myelom-Patienten mit dem Syndrom Berührungspunkte haben können. Aufgrund der vielfältigen Beschwerden, die mit der Erkrankung einhergehen können, steht das eigentlich sehr seltene POEMS-Syndrom relativ häufig als mögliche Diagnose zur Diskussion.
Das folgende Info-Blatt befasst sich mit dessen Symptomen, Diagnose und der Behandlung.